[as] riflessi
Diagnosi in un clic.
di Catia Peduto
Strumenti diagnostici, come la radiografia, la risonanza magnetica nucleare (Rmn), la tomografia a emissione di positroni (Pet) o la tomografia computerizzata (Tac), sono oggi utilizzati per diagnosticare varie malattie. Ma molte informazioni contenute nelle immagini prodotte da questi strumenti non vengono sfruttate, a causa della mancanza di sistemi capaci di estrarre in maniera automatica dati quantitativi utili ad aiutare l’occhio del radiologo.
Partendo da tecniche di analisi dei dati utilizzate per interpretare le collisioni di particelle dentro gli acceleratori, da un lato, e dal know-how acquisito sul Grid/Cloud computing, che permette di analizzare molteplici informazioni in poco tempo grazie al calcolo distribuito, dall’altro, i ricercatori dell’Infn hanno sviluppato degli strumenti che sono risultati molto utili a colmare questa mancanza. Si tratta di sistemi dal nome Cad (Computer Aided Detection), che contengono degli algoritmi in grado di assistere il radiologo nella diagnosi. La tecnologia Grid, con l’evoluzione verso il Cloud computing, oltre a offrire la potenza di calcolo, consente di analizzare le immagini su richiesta del medico, senza che sia necessario l’acquisto di hardware o l’installazione di software nella struttura ospedaliera.
Il progetto Magic-5 è nato nel 2004 con l’obiettivo di sviluppare degli algoritmi che analizzassero immagini Tac in maniera automatica, per la diagnosi precoce del tumore al polmone.
Successivamente, dal 2006, è stata avviata una linea di ricerca sull’analisi di risonanze magnetiche del cervello, con l’obiettivo di cercare criteri di identificazione precoce degli effetti degenerativi che sfociano nella malattia dell’Alzheimer. Questa linea di ricerca da quest’anno si è evoluta nel progetto Mind.
Magic-5 ha realizzato con successo un algoritmo, dal nome M5l, per la ricerca automatica di noduli polmonari. Questo si basa sull’idea, successivamente confermata dalla sperimentazione, che l’analisi parallela attraverso diversi algoritmi migliora le prestazioni complessive. M5l potrà diventare un servizio di supporto per futuri programmi di screening del tumore polmonare.
Attraverso un fornitore di servizi il radiologo potrà caricare le immagini Tac da analizzare in un Cloud (vd. fig b. Griglie e nuvole), in cui viene eseguito l’algoritmo M5l che produce una lista dei noduli sospetti. Il fornitore di servizi potrebbe essere, ad esempio, quello già sviluppato (Widen) dalla società diXit (spin-off dell’Infn e dell’Università di Torino) in collaborazione con i ricercatori dell’Infn. Non appena l’analisi delle immagini è terminata, la lista dei noduli viene recapitata nella casella di posta elettronica del radiologo, permettendo di ridurre notevolmente i tempi della diagnosi. I radiologi possono utilizzare questo sistema connettendosi da qualunque computer.
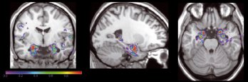
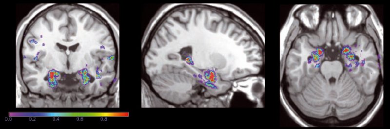
b.Sezione coronale (a sinistra), sagittale (al centro) e assiale (a destra) di una immagine di risonanza magnetica cerebrale. Le regioni in colore indicano le zone clinicamente rilevanti per la diagnosi precoce di soggetti affetti da malattia di Alzheimer.
Il progetto Mind, nato in collaborazione con alcuni ospedali di Genova, Trieste, Brescia e Perugia, vuole invece aprire nuove prospettive nell’ambito della diagnosi di malattie neurodegenerative cerebrali. Oltre all’Alzheimer, si parla anche della demenza fronto-temporale, del Parkinson e di altre ancora. L’estrazione di informazioni clinicamente rilevanti dalle immagini di Rmn e Pet, infatti, necessita di sofisticati strumenti di calcolo. Scopo di Mind è lo sviluppo di algoritmi di analisi di immagini cerebrali, per fornire al neurologo un ulteriore strumento di indagine, che potrebbe ridurre il rischio di errore diagnostico e rendere la diagnosi più precoce. Al momento, a questo scopo, i ricercatori stanno implementando un sistema compatibile con la Grid, ma più snello, già consolidato nel campo delle neuroscienze (il sistema Pipeline). Da febbraio 2013, grazie al servizio sviluppato dal consorzio europeo Decide, i neurologi potranno accedere a questa Grid, inserire le immagini Rmn e ricevere il risultato dell’analisi, che fornirà la probabilità che il paziente contragga la malattia di Alzheimer nei due anni successivi all’esame.
{jcomments on}



©asimmetrie